Table of Contents
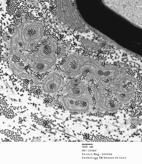
Washington University Experience | PERIPHERAL NEUROPATHY | 4 AXONAL DEGENERATION | 3 Electron Microscopy | 5D2 Bands Bungner, collagen pockets (Case 26) EM 3 - Copy
Additional examples of collagen pockets signifying substantial numbers of lost unmyelinated axons.
