Table of Contents
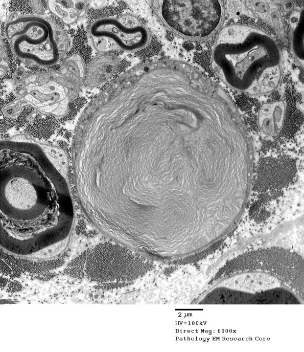
Washington University Experience | PERIPHERAL NEUROPATHY | 4 AXONAL DEGENERATION | 3 Electron Microscopy | 6A Axonal Degeneration (Case 29) EM 006 - Copy
6A-D In chronic neuropathies it is not uncommon to see lipidic debris remaining within Schwann cell processes as myelin residua in an inactive nerve.
