Table of Contents



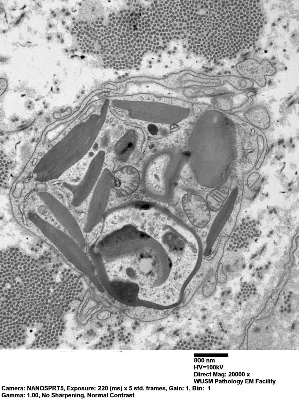
Washington University Experience | PERIPHERAL NEUROPATHY | 4 AXONAL DEGENERATION | 3 Electron Microscopy | 6E Axon loss (Case 32) EM 045 - Copy

6E Axon loss (Case 32) EM 045 - Copy
Residua of large myelinated axons are often identified by pi granule tombstones.


Gallery RSS RSS Feed | Archive View | Login | Powered by Zenphoto