Table of Contents
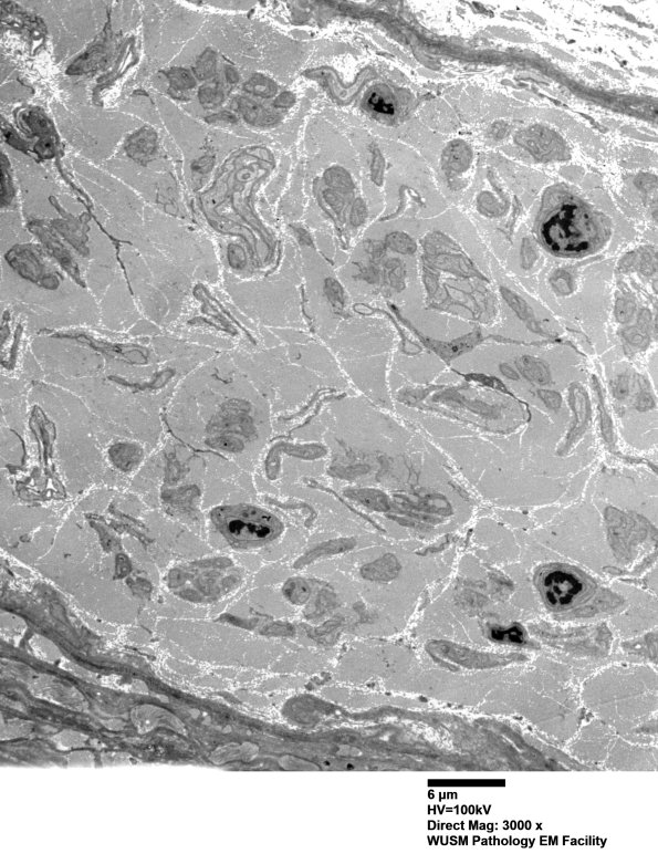
Washington University Experience | PERIPHERAL NEUROPATHY | 4 AXONAL DEGENERATION | 3 Electron Microscopy | 7A1 Chronic Degeneration (Case 33) Sural_058 - Copy
This patient (Case 33) is a 60 year old man with poorly controlled diabetes and established severe sensory neuropathy of more than 10 years duration, often with HbA1c more than 8.0. He has been treated with alpha lipoic acid. ---- 7A1,2 The extensive course of neuropathy in this patient has resulted in the marked increase in endoneurial collagen, loss of many typical bands of Büngner and the proliferation of delicate, questionably atrophic cellular processes (arrows, 7A2). The atrophic processes likely reflect remote bands of Büngner and/or delicate fibroblast processes which may be difficult to separate even with ultrastructural examination. (electron micrographs)
