Table of Contents
Washington University Experience | PERIPHERAL NEUROPATHY | 4 AXONAL DEGENERATION | 3 Electron Microscopy | 7A2 Chronic Degeneration (Case 33) Sural_036 copy - Copy
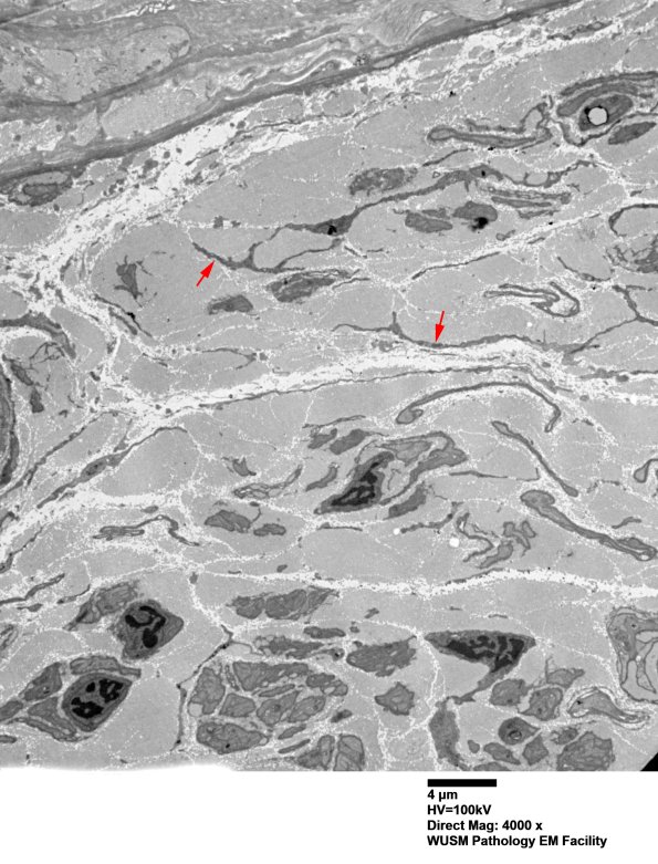
The extensive course of neuropathy in this patient has resulted in the marked increase in endoneurial collagen, loss of many typical bands of Büngner and the proliferation of delicate, questionably atrophic cellular processes (arrows). The atrophic processes likely reflect remote bands of Büngner and/or delicate fibroblast processes which may be difficult to separate even with ultrastructural examination. (electron micrographs)
