Table of Contents
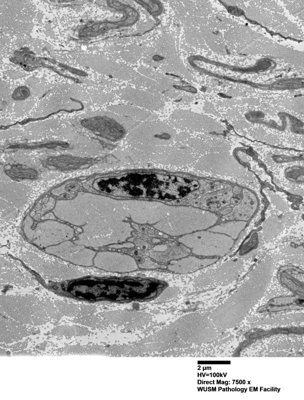
Washington University Experience | PERIPHERAL NEUROPATHY | 4 AXONAL DEGENERATION | 3 Electron Microscopy | 7A3B Chronic Degeneration (Case 33) ural_041 - Copy
This appears to be a Schwann cell with large collections of collagen delimited by its extensive processes. (electron micrographs)
