Table of Contents
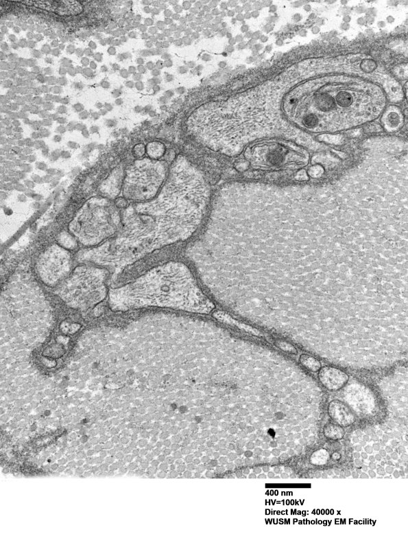
Washington University Experience | PERIPHERAL NEUROPATHY | 4 AXONAL DEGENERATION | 3 Electron Microscopy | 7A3D Chronic Degeneration (Case 33) Sural_046 - Copy
Two magnifications of the edge of the Schwann cell shown in 7A3A. It is difficult to find all Schwannian processes with discernable thick basement membranes. (electron micrographs)
