Table of Contents
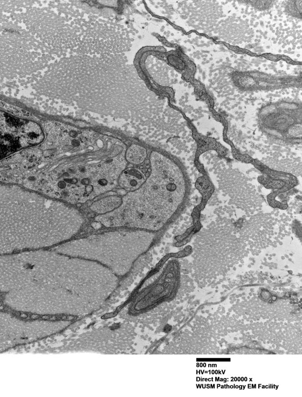
Washington University Experience | PERIPHERAL NEUROPATHY | 4 AXONAL DEGENERATION | 3 Electron Microscopy | 7A3E Chronic Degeneration (Case 33) Sural_042 - Copy
7A3E-G At the right edge of the Schwann cell shown in 7A3A are a variety of delicate processes that appear to be fibroblastic and/or Schwann cell derived. (electron micrographs)
