Table of Contents
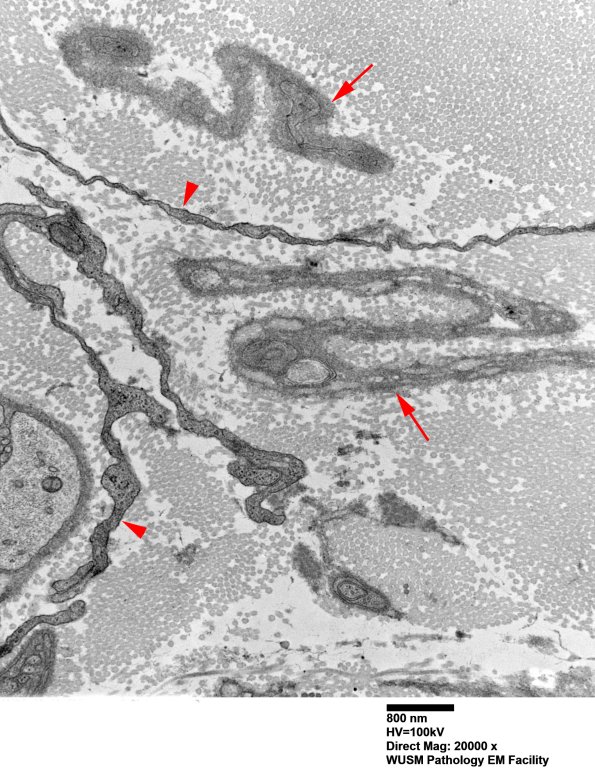
Washington University Experience | PERIPHERAL NEUROPATHY | 4 AXONAL DEGENERATION | 3 Electron Microscopy | 7A3F Chronic Degeneration (Case 33) Sural_043 copy - Copy
I think these are either fibroblast processes (arrowheads) or atrophic Schwann cell processes (arrows). (electron micrographs)
