Table of Contents
Washington University Experience | PERIPHERAL NEUROPATHY | 4 AXONAL DEGENERATION | 3 Electron Microscopy | 7A3G Chronic Degeneration (Case 33) Sural_044 copy - Copy
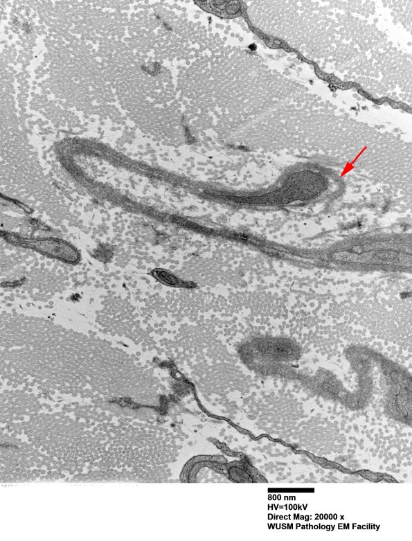
In this image the basal lamina (arrow) has partially detached from the underlying Schwann cell process. (electron micrograph)
