Table of Contents
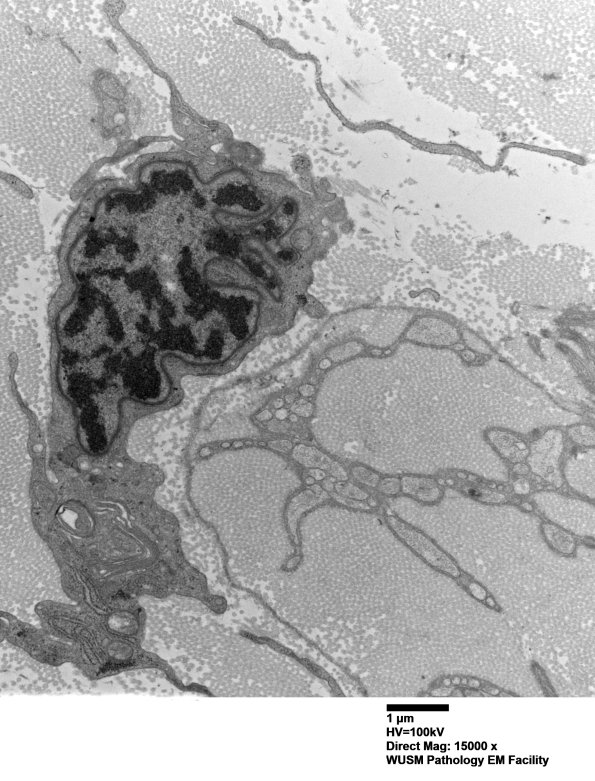
Washington University Experience | PERIPHERAL NEUROPATHY | 4 AXONAL DEGENERATION | 3 Electron Microscopy | 7A4B Chronic Degeneration (Case 33) Sural_049 - Copy
Another large collection of collagen and cells. Is the cell at the left margin a fibroblast or histiocyte? The cell at the lower margin in image 7A4B appears confidently to be Schwannian in origin. (electron micrographs)
