Table of Contents
Washington University Experience | PERIPHERAL NEUROPATHY | 4 AXONAL DEGENERATION | 3 Electron Microscopy | 7A5B Chronic Degeneration (Case 33) Sural_052 - Copy
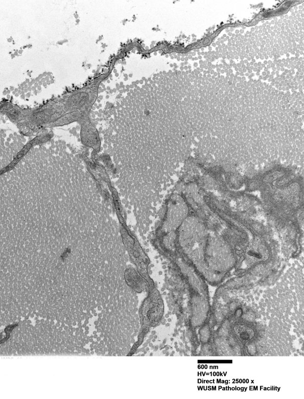
The individual processes in this series of images are hard to establish as Schwannian, fibroblastic or histiocytic. (electron micrographs)
