Table of Contents
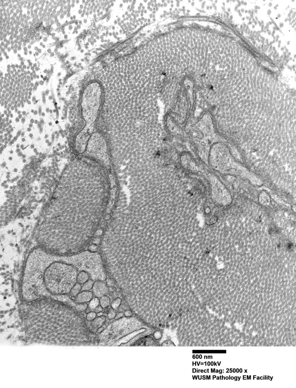
Washington University Experience | PERIPHERAL NEUROPATHY | 4 AXONAL DEGENERATION | 3 Electron Microscopy | 7A6B Chronic Degeneration (Case 33) Sural_055 - Copy
In this collection of processes and collagen it appears most processes are Schwannian in origin. (electron micrographs)
