Table of Contents
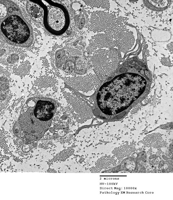
Washington University Experience | PERIPHERAL NEUROPATHY | 4 AXONAL DEGENERATION | 4 Macrophages | 1A Axonal Degeneration (Case 1) EM 030 - Copy
A macrophage exhibiting prominent processes but without significant phagocytosed material is shown moving through the endoneurium in a case in which there is significant axonal degeneration.
