Table of Contents
Washington University Experience | PERIPHERAL NEUROPATHY | 4 AXONAL DEGENERATION | 4 Macrophages | 1B4 Axonal Degeneration Macrophage (Case 2) EM 061 - Copy
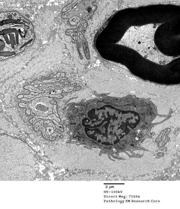
These macrophages, again lacking engulfed material, are located in a nerve fascicle which has lost most of its axons. Note the empty Schwann cell processes forming bands of Büngner
