Table of Contents
Washington University Experience | PERIPHERAL NEUROPATHY | 4 AXONAL DEGENERATION | 4 Macrophages | 2A Axonal Degeneration & Regeneration (Case 3) EM 029A copy - Copy
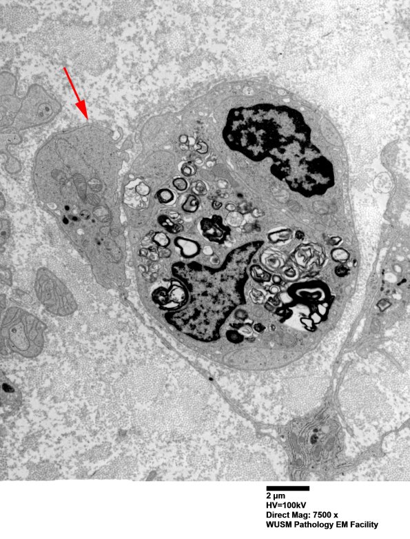
2A-E Early Contact of Macrophages with Schwann cells containing axon and myelin debris. ---- 2A An early contact of a macrophage with degenerating myelin and axonal debris enclosed within a Schwann cell likely represents an early phase of transfer between the cells.
