Table of Contents
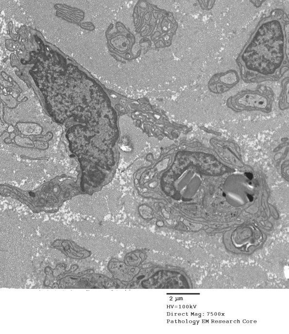
Washington University Experience | PERIPHERAL NEUROPATHY | 4 AXONAL DEGENERATION | 4 Macrophages | 2B Axonal Degeneration (Case 2) EM 137 - Copy
It appears that a macrophage with prominent collections of processes is adjacent to a Schwann cell with residual pi granules following removal of much of the myelin and axon debris.
