Table of Contents



Washington University Experience | PERIPHERAL NEUROPATHY | 4 AXONAL DEGENERATION | 4 Macrophages | 2C Axonal Degeneration (Case 4) 054 - Copy

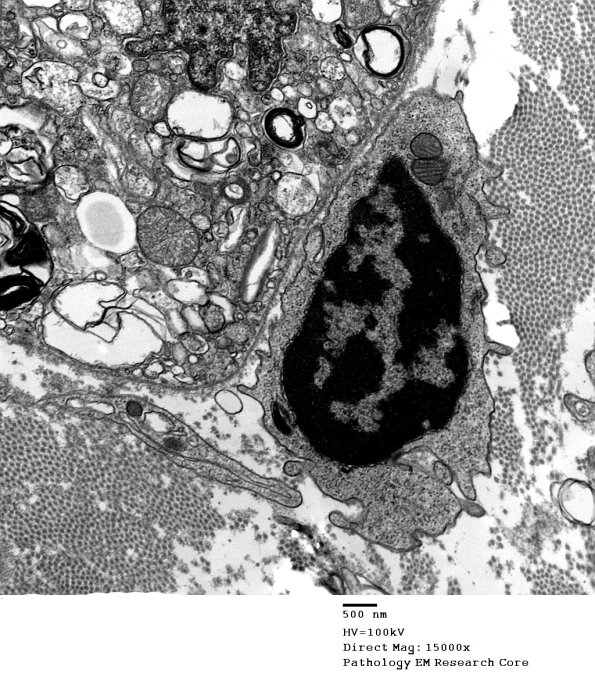
2C Axonal Degeneration (Case 4) 054 - Copy
Early contact of macrophage processes with a debris laden Schwann cell.


Gallery RSS RSS Feed | Archive View | Login | Powered by Zenphoto