Table of Contents
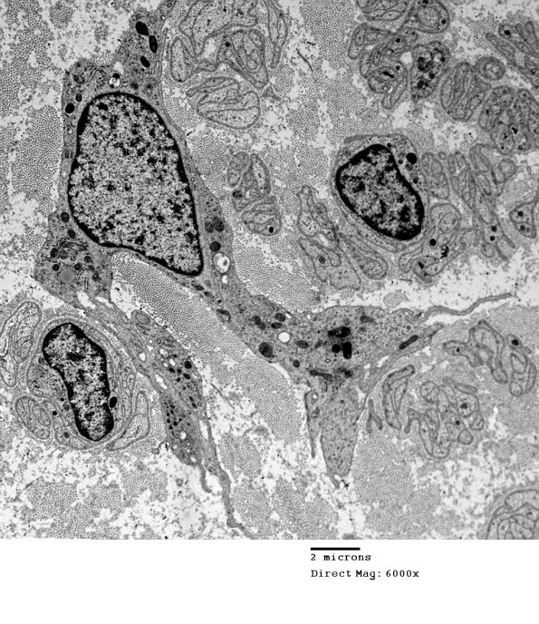
Washington University Experience | PERIPHERAL NEUROPATHY | 4 AXONAL DEGENERATION | 4 Macrophages | 2D1 Axonal Degeneration, granular axoplasm, sarcoid (Case 5) EM 028 - Copy
2D1,2 Long processes belonging to a macrophage surrounded by axon depopulated endoneurial elements.
