Table of Contents
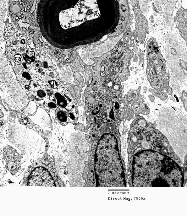
Washington University Experience | PERIPHERAL NEUROPATHY | 4 AXONAL DEGENERATION | 4 Macrophages | 2D2 Axonal Degeneration, granular axoplasm, sarcoid (Case 5) EM 033 - Copy
In this case there are several macrophages contacting a degenerating axon whose myelin remains intact at this stage.
