Table of Contents



Washington University Experience | PERIPHERAL NEUROPATHY | 4 AXONAL DEGENERATION | 4 Macrophages | 2E W20-543B Crocker J (Case 6) nerve_018 - Copy

2E W20-543B Crocker J (Case 6) nerve_018 - Copy
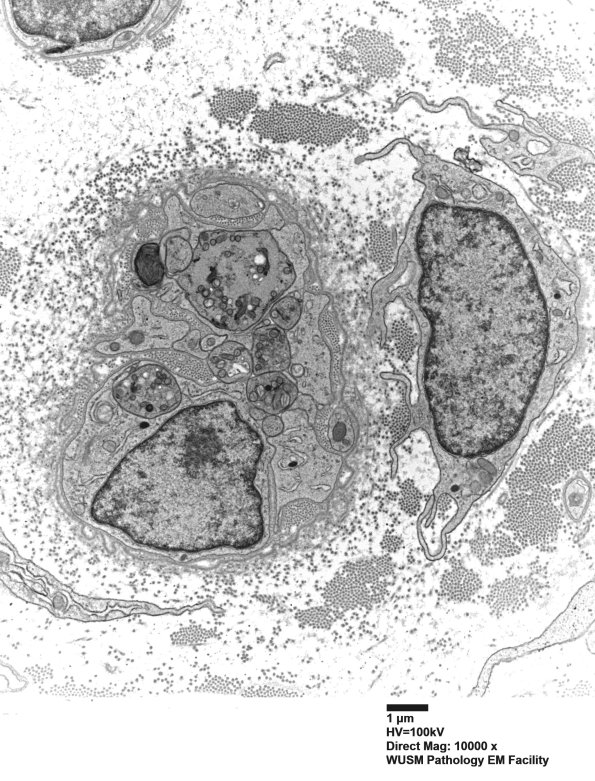
A macrophage approaches a collection of degenerating unmyelinated axons.


Gallery RSS RSS Feed | Archive View | Login | Powered by Zenphoto