Table of Contents
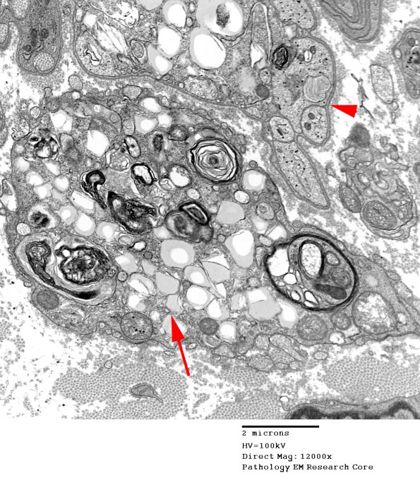
Washington University Experience | PERIPHERAL NEUROPATHY | 4 AXONAL DEGENERATION | 4 Macrophages | 3A1 Axonal Degeneration (Case 7) EM 024 - Copy copy
Several magnifications of a Schwann cell (arrowhead) containing myelin debris and vacuoles of neutral lipid with an adjacent macrophage (arrow) containing similar engulfed Schwann cell debris.
