Table of Contents
Washington University Experience | PERIPHERAL NEUROPATHY | 4 AXONAL DEGENERATION | 4 Macrophages | 3A2 Axonal Degeneration (Case 7) EM 025 - Copy
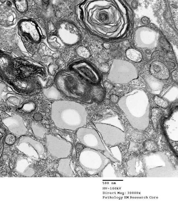
Higher magnification image of the macrophage cytoplasm showing myelin debris and fat droplets without a basement membrane.
