Table of Contents
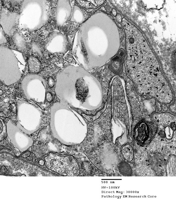
Washington University Experience | PERIPHERAL NEUROPATHY | 4 AXONAL DEGENERATION | 4 Macrophages | 3A3 Axonal Degeneration (Case 7) EM 026 - Copy
Higher magnification of the Schwann cell cytoplasm surrounded by a basement membrane.
