Table of Contents
Washington University Experience | PERIPHERAL NEUROPATHY | 4 AXONAL DEGENERATION | 4 Macrophages | 3B1 Axonal Degeneration (Case 4) EM 084 - Copy
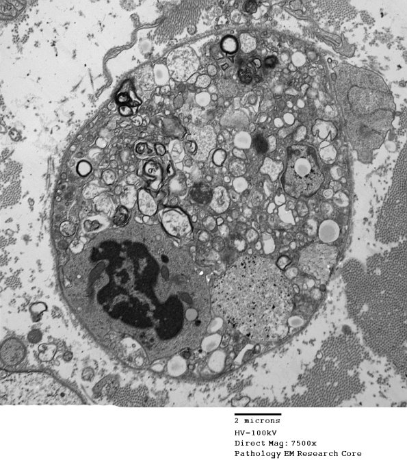
3B1-3 I think this is an early responding macrophage which has penetrated through the basal lamina of the Schwann cell and is beginning to phagocytosis degraded axon and myelin debris.
