Table of Contents
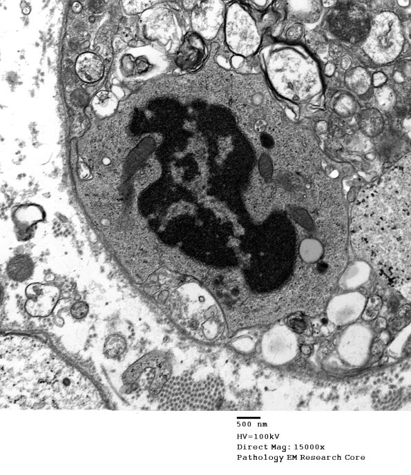
Washington University Experience | PERIPHERAL NEUROPATHY | 4 AXONAL DEGENERATION | 4 Macrophages | 3B2 Axonal Degeneration (Case 4) EM 085 - Copy
3B2,3 Higher magnification images show delicate short processes of the macrophage (arrows, 3B3).
