Table of Contents
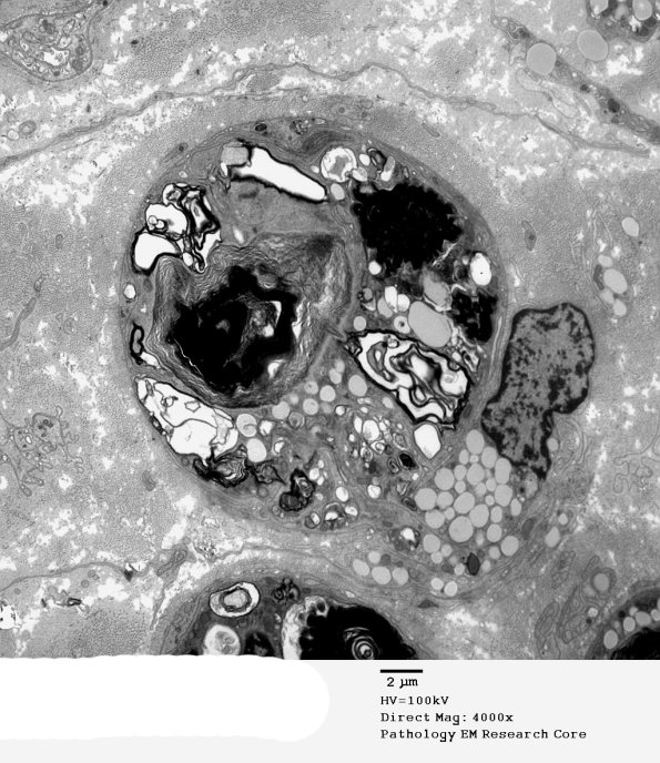
Washington University Experience | PERIPHERAL NEUROPATHY | 4 AXONAL DEGENERATION | 4 Macrophages | 3C1 Axonal Degeneration, macrophage phagocytosis (Case 8) EM 005 - Copy
This is an active degenerating myelinated axon with an adjacent macrophage containing degraded lipidic debris.
