Table of Contents
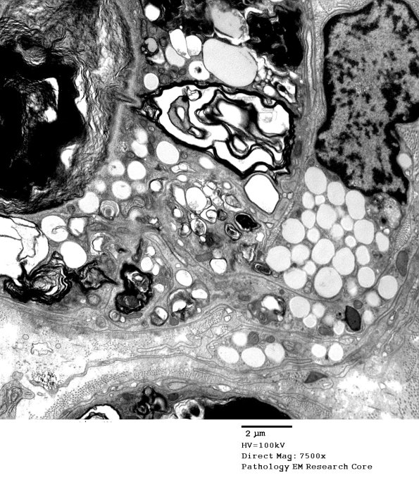
Washington University Experience | PERIPHERAL NEUROPATHY | 4 AXONAL DEGENERATION | 4 Macrophages | 3C2 Axonal Degeneration, macrophage phagocytosis (Case 8) EM 006 - Copy
A higher magnification image of a locus of interaction between the macrophage and the Schwann cell.
