Table of Contents
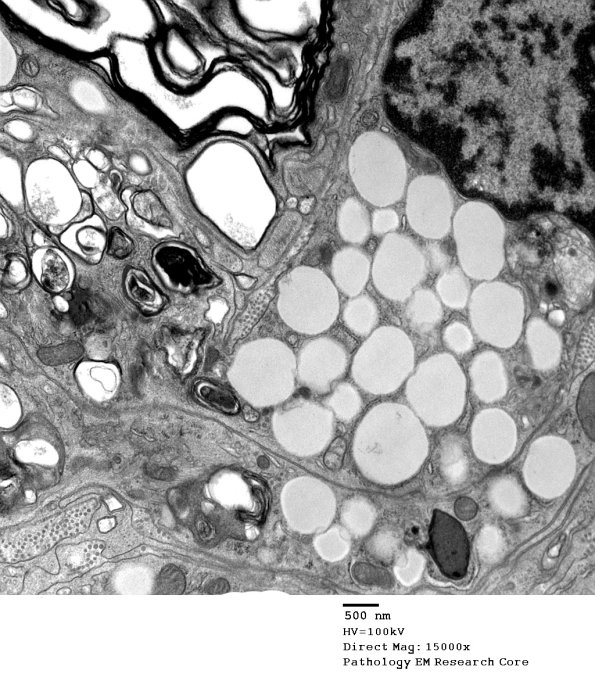
Washington University Experience | PERIPHERAL NEUROPATHY | 4 AXONAL DEGENERATION | 4 Macrophages | 3C4 Axonal Degeneration, macrophage phagocytosis (Case 8) EM 009 - Copy
An additional image of the macrophage contact with the degenerating Schwann cell contents.
