Table of Contents
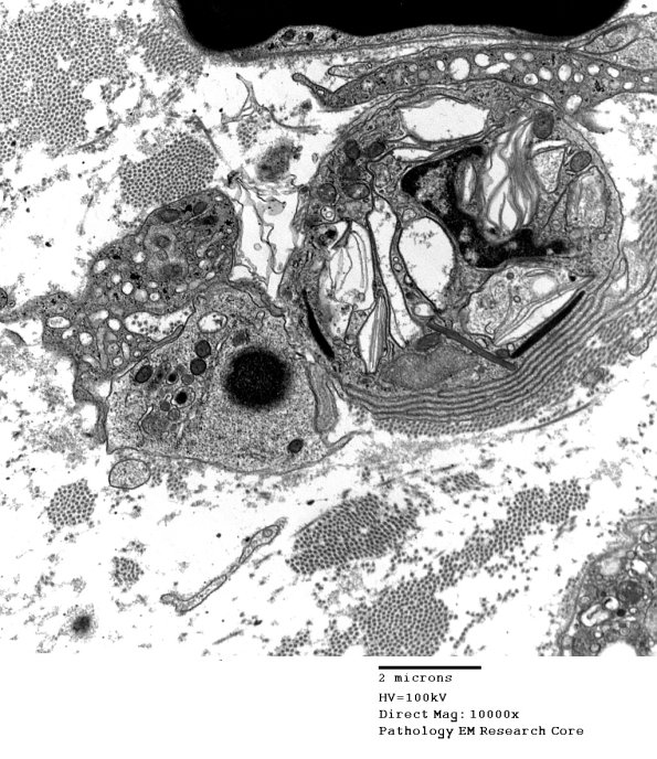
Washington University Experience | PERIPHERAL NEUROPATHY | 4 AXONAL DEGENERATION | 4 Macrophages | 3D1 Axonal Degeneration (Case 4) EM 112 - Copy
3D1,2 Two images of macrophage processes surrounding a later stage of a Schwann cell with a modest amount of residual debris.
