Table of Contents



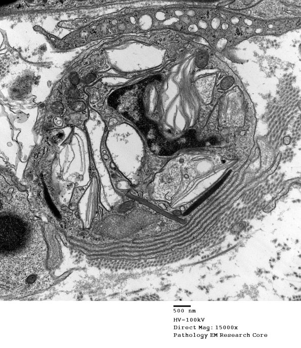
Washington University Experience | PERIPHERAL NEUROPATHY | 4 AXONAL DEGENERATION | 4 Macrophages | 3D2 Axonal Degeneration (Case 4) EM 113 - Copy

3D2 Axonal Degeneration (Case 4) EM 113 - Copy
Higher magnification of image #3D1. (electron micrograph)


Gallery RSS RSS Feed | Archive View | Login | Powered by Zenphoto