Table of Contents
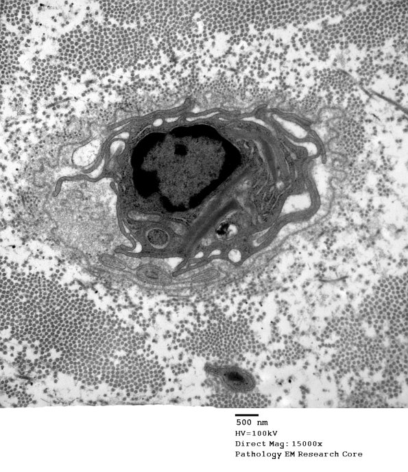
Washington University Experience | PERIPHERAL NEUROPATHY | 4 AXONAL DEGENERATION | 4 Macrophages | 3E Macrophage, within basement membrane (Case 9) EM 019 - Copy
A macrophage is alone within the original basement membrane of the degraded Schwann cell.
