Table of Contents



Washington University Experience | PERIPHERAL NEUROPATHY | 4 AXONAL DEGENERATION | 4 Macrophages | 3F3 Axonal Degeneration (Case 10) 046 - Copy

3F3 Axonal Degeneration (Case 10) 046 - Copy
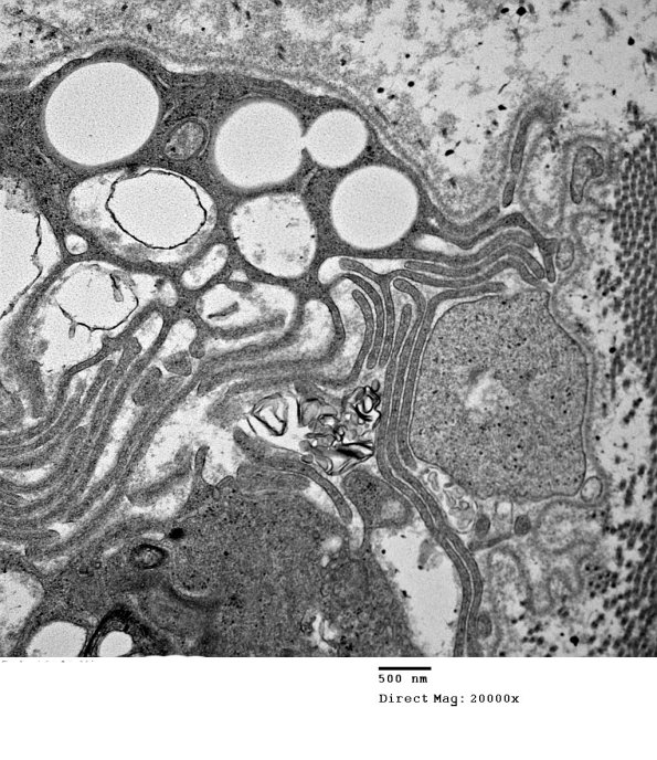
Higher magnification of image #3F1. (electron micrograph)


Gallery RSS RSS Feed | Archive View | Login | Powered by Zenphoto