Table of Contents



Washington University Experience | PERIPHERAL NEUROPATHY | 4 AXONAL DEGENERATION | 4 Macrophages | 3F4 Axonal Degeneration (Case 10) 012 - Copy

3F4 Axonal Degeneration (Case 10) 012 - Copy
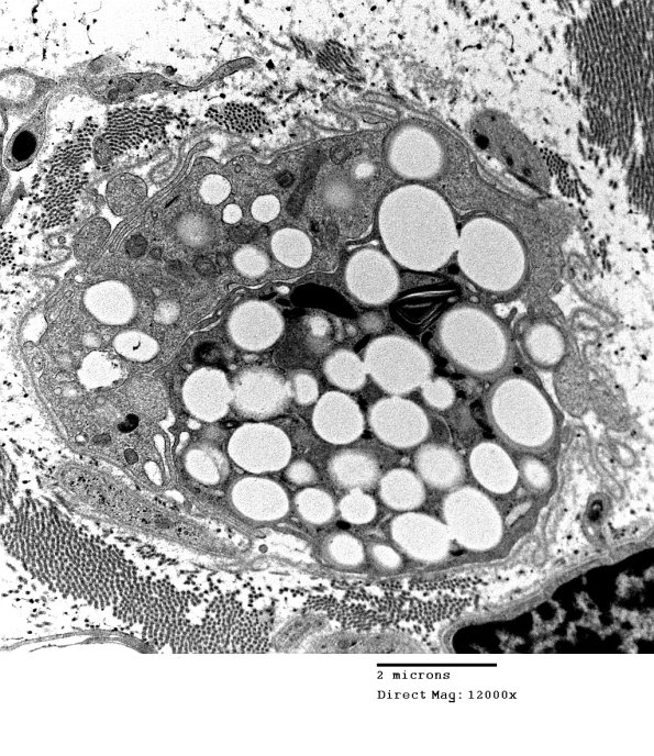
A similar macrophage within the original Schwann cell basement membrane.


Gallery RSS RSS Feed | Archive View | Login | Powered by Zenphoto