Table of Contents
Washington University Experience | PERIPHERAL NEUROPATHY | 4 AXONAL DEGENERATION | 4 Macrophages | 3G1 Axonal Degeneration (Case 4) EM 101 copy - Copy copy
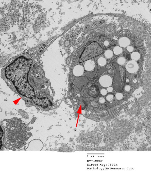
There are two macrophages in this image. One (arrowhead) is external with no appreciable debris and a second (arrow) within the original Schwann cell basement membrane.
