Table of Contents
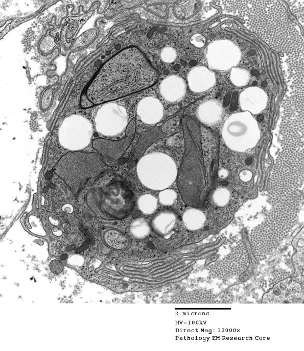
Washington University Experience | PERIPHERAL NEUROPATHY | 4 AXONAL DEGENERATION | 4 Macrophages | 3G2 Axonal Degeneration (Case 4) EM 102 - Copy
3G2-4 Higher magnification of the second macrophage with numerous pseudopods and partially metabolized Schwann cell, myelin and axonal debris.
