Table of Contents
Washington University Experience | PERIPHERAL NEUROPATHY | 4 AXONAL DEGENERATION | 4 Macrophages | 3G3 Axonal Degeneration (Case 4) EM 103 - Copy
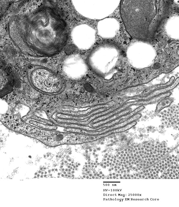
Higher magnification of the second macrophage with numerous pseudopods and partially metabolized Schwann cell, myelin and axonal debris.
