Table of Contents



Washington University Experience | PERIPHERAL NEUROPATHY | 4 AXONAL DEGENERATION | 4 Macrophages | 3G5 Case 4_097 - Copy

3G5 Case 4_097 - Copy
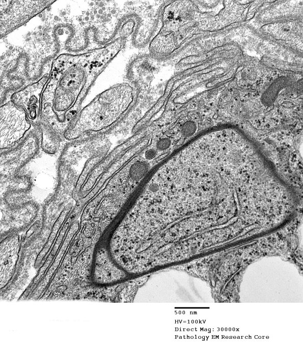
An additional view of the macrophage cytoplasm and the Schwann cell basement membrane.


Gallery RSS RSS Feed | Archive View | Login | Powered by Zenphoto