Table of Contents
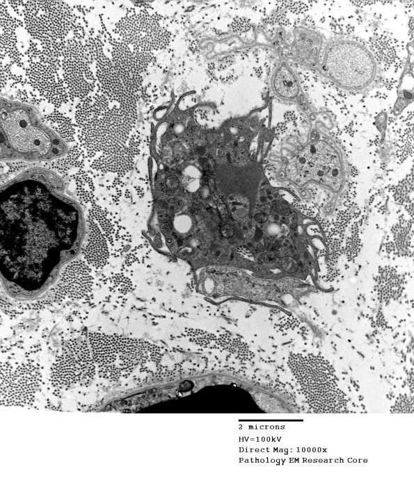
Washington University Experience | PERIPHERAL NEUROPATHY | 4 AXONAL DEGENERATION | 4 Macrophages | 3H1 Axonal Degeneration (Case 11) EM 010 - Copy
3H1,2 A macrophage leaving a group of Schwann cell processes which contain no myelin debris.
