Table of Contents
Washington University Experience | PERIPHERAL NEUROPATHY | 4 AXONAL DEGENERATION | 4 Macrophages | 4A00 Macrophages perivascular (Case 12) 100X 1
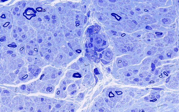
The following series of electron micrographs examines macrophages traversing the endoneurium to leave via the endoneurial vasculature as shown in this toluidine blue stained one micron thick plastic embedded section.
