Table of Contents
Washington University Experience | PERIPHERAL NEUROPATHY | 4 AXONAL DEGENERATION | 4 Macrophages | 4A1 Axonal Degeneration (Case 10) 008 - Copy
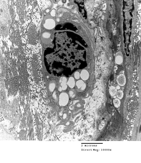
This macrophage contains vacuoles and maintains significant numbers of ramified processes.
