Table of Contents



Washington University Experience | PERIPHERAL NEUROPATHY | 4 AXONAL DEGENERATION | 4 Macrophages | 4B (Case 13 EM 023 - Copy

4B (Case 13 EM 023 - Copy
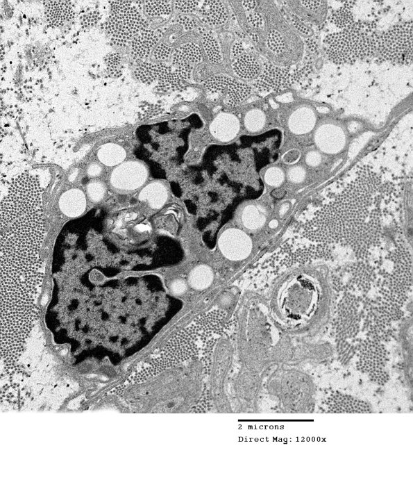
A macrophage in a sea of collagen, collagen pockets and denervated Schwann cell processes.


Gallery RSS RSS Feed | Archive View | Login | Powered by Zenphoto