Table of Contents



Washington University Experience | PERIPHERAL NEUROPATHY | 4 AXONAL DEGENERATION | 4 Macrophages | 4C (Case 14) EM 008 - Copy

4C (Case 14) EM 008 - Copy
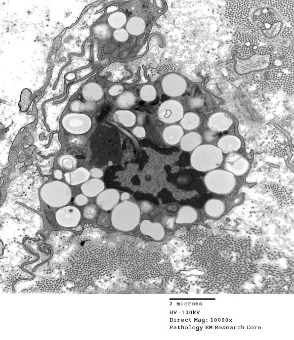
A migrating macrophage containing digested debris.


Gallery RSS RSS Feed | Archive View | Login | Powered by Zenphoto