Table of Contents
Washington University Experience | PERIPHERAL NEUROPATHY | 4 AXONAL DEGENERATION | 4 Macrophages | 4E1 Axonal Degeneration (Case 8)_018 - Copy
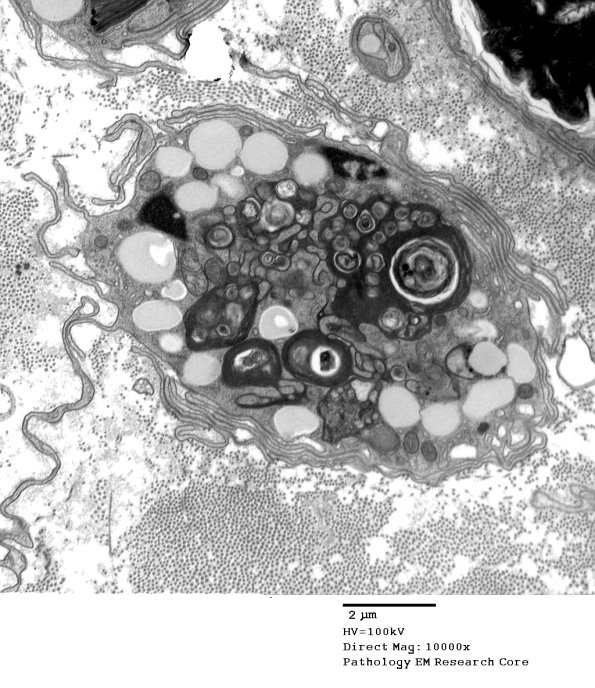
4E1,2 A migrating macrophage containing partially metabolized myelin and axonal debris.
