Table of Contents



Washington University Experience | PERIPHERAL NEUROPATHY | 4 AXONAL DEGENERATION | 4 Macrophages | 4E2 Axonal Degeneration (Case 8)_019 - Copy

4E2 Axonal Degeneration (Case 8)_019 - Copy
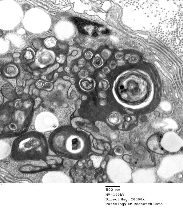
A migrating macrophage containing partially metabolized myelin and axonal debris.


Gallery RSS RSS Feed | Archive View | Login | Powered by Zenphoto