Table of Contents



Washington University Experience | PERIPHERAL NEUROPATHY | 4 AXONAL DEGENERATION | 4 Macrophages | 4F1 (Case 16) EM 001 - Copy

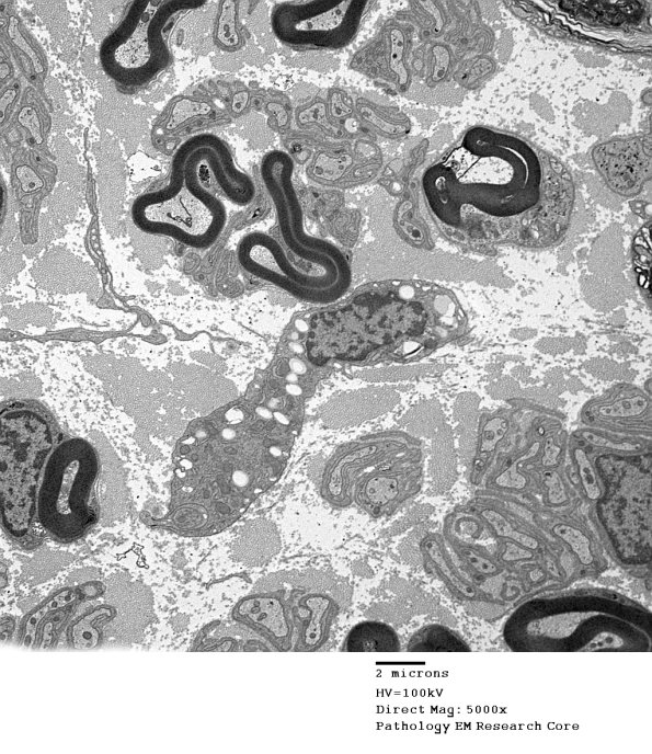
4F1 (Case 16) EM 001 - Copy
4F1,2 A migrating macrophage with a small amount of debris.


Gallery RSS RSS Feed | Archive View | Login | Powered by Zenphoto