Table of Contents



Washington University Experience | PERIPHERAL NEUROPATHY | 4 AXONAL DEGENERATION | 4 Macrophages | 4F2 (Case 16) EM 002 - Copy

4F2 (Case 16) EM 002 - Copy
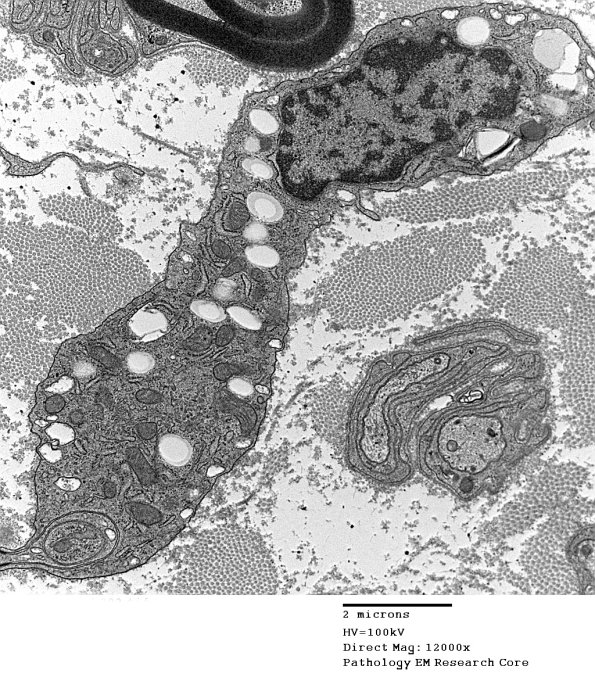
A migrating macrophage with a small amount of debris.


Gallery RSS RSS Feed | Archive View | Login | Powered by Zenphoto