Table of Contents



Washington University Experience | PERIPHERAL NEUROPATHY | 4 AXONAL DEGENERATION | 4 Macrophages | 4H1 Axonal Degeneration (Case 10) 035 - Copy

4H1 Axonal Degeneration (Case 10) 035 - Copy
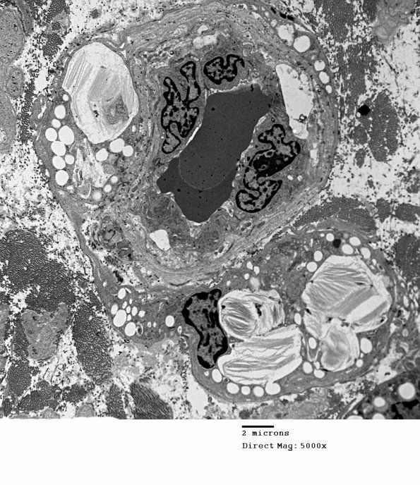
4H1,2 Debris laden macrophages adjacent to an endoneurial vessel.


Gallery RSS RSS Feed | Archive View | Login | Powered by Zenphoto