Table of Contents



Washington University Experience | PERIPHERAL NEUROPATHY | 4 AXONAL DEGENERATION | 4 Macrophages | 4H2 Axonal Degeneration (Case 10) 036 - Copy

4H2 Axonal Degeneration (Case 10) 036 - Copy
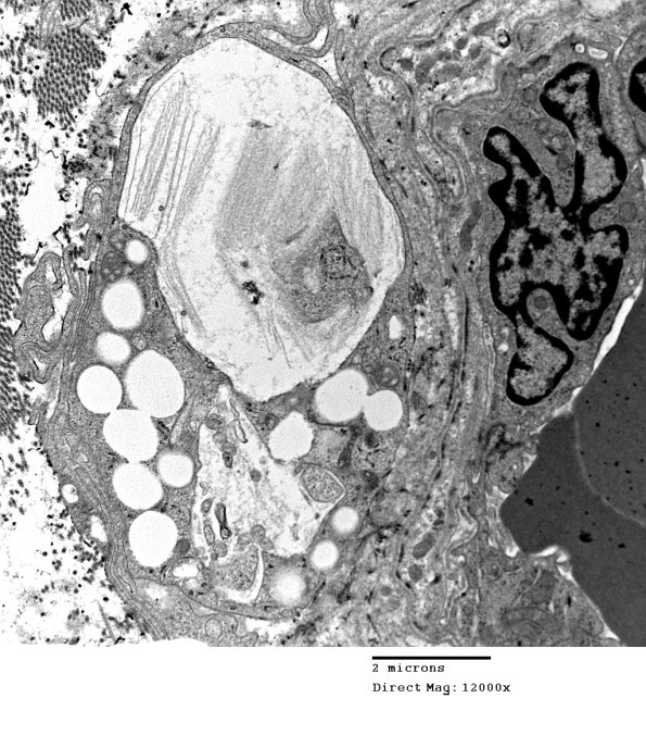
A close-up of one of the macrophages seen in image #4H1.


Gallery RSS RSS Feed | Archive View | Login | Powered by Zenphoto