Table of Contents
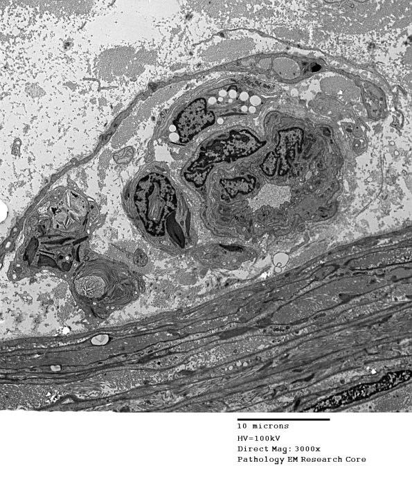
Washington University Experience | PERIPHERAL NEUROPATHY | 4 AXONAL DEGENERATION | 4 Macrophages | 4J1 Axonal Degeneration (Case 4) 045 - Copy
4J1,2 In this case the macrophage contains numerous Schwann cell derived pi granules.
